Uống mật ong nghệ có bị vàng răng không?

Posted on Tin Tức 5104 lượt xem

Uống tinh bột nghệ mật ong đã không còn là một công thức gì quá xa lạ với nhiều người. Đây được xem là một phương pháp đơn giản tốt trong tốt ngoài cho người sử dụng. Khi dùng lâu sẽ giúp bạn trẻ hóa làn da, hạn chế nhược điểm cũng như tăng cường sức đề kháng và phòng chống ung thư được tốt hơn. Tốt là thế tuy nhiên xung quanh công thức này vẫn có khá nhiều bất cập. Đặc biệt là nhiều người cho rằng sau một thời gian uống nghệ và mật ong răng của tôi đã bị vàng đi rất nhiều. Thực hư của việc này là do đâu?

uống nghệ mật ong

Có thật uống mật ong nghệ bị vàng răng không?

Thực ra câu hỏi này Nghệ Bà Lan cũng đã nghe rất nhiều sự phản hồi và thắc mắc từ những khách hàng của mình. Sẵn đây chúng tôi xin được chia sẻ một cách chính đáng và rõ ràng nhất. Việc dùng nghệ và mật ong bị vàng răng là CÓ thật. Vì sao lại như vậy?

Đơn giản thôi vì ban sử dụng nghệ ở đây là củ nghệ tươi kèm với mật ong. Trong củ nghệ hẳn bạn cũng biết chúng có khá nhiều những tinh chất mà nổi bật nhất chính là curcumin. Tuy nhiên ngoài ra trong củ nghệ cũng còn một lượng tinh dầu khá lớn. Dầu nghệ không xấu nhưng không sử dụng đúng cách sẽ đem đến nhiều hệ quả khó lường. Cụ thể đó chính là việc răng bị vàng do khi ăn hoặc uống dầu nghệ sẽ bám dính vào răng. Chúng như những mảng bám cứng đầu dần dà sẽ khiến cho răng bạn bị ố màu.

Ngoài ra, một lí do khác khiến cho một số khách hàng càng dùng càng vàng răng hay da vàng là do dùng phải bột nghệ rởm. Nghĩa là khi tinh bột nghệ không được lọc tách kĩ càng thường sẽ còn dầu cặn. Dầu khi uống vào sẽ dinh vào răng và không tan trong dạ dày. Dần dà khiến cho cơ thể đặc biệt là gan chịu ảnh hưởng năng nề. Rõ thấy nhất chính là làn da bạn càng ngày càng bị vàng nhiều hơn. Không những thế phần cặn và dầu vào dạ dày sẽ tạo thành khối bã xơ gây viêm dạ dày cực kì nguy hiểm đấy nhé

Một lí do khác nữa khiến cho da bạn bị vàng răng là do tinh nghệ bị trộn phẩm hay các hóa chất tạo màu vàng. Vô hình chung khi uống cúng sẽ khiến cho da và răng bị nhuộm vàng luôn

Vậy nên đây là lí do mà vì sao Nghệ Bà Lan luôn nhắc đi nhắc lại sự quan trọng của việc sử dụng tinh bột nghệ nguyên chất. Chúng phải đảm bao đươc cả hai yếu tố chất lượng sản phẩm và hàm lượng curcumin cao.

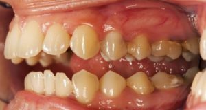
răng vàng

Uống tinh bột nghệ mật ong sao cho đúng cách?

Vậy cách uống nghệ mật ong làm sao để không bị vàng răng hay vàng da?

Với kinh nghiệm hơn 20 năm trong lĩnh vực sản xuất các sản phẩm về nghệ, Nghệ Bà Lan cho rằng bạn nên

  • Chọn mua tinh bột nghệ nguyên chất tại những địa điểm uy tín. Bột nghệ khi làm ra phải trong mịn, và chắc chắn không bị pha trộn các sản phẩm độc hại hay phẩm màu.
  • Phân biệt rõ ràng hai khái niệm tinh bột nghệ và bột nghệ. Nhiều người nghĩ rằng cả hai là một. Tuy nhiên bột nghệ vốn chỉ là phần củ nghệ được phơi khô rồi đem xay nhuyễn. Tất nhiên vì vậy chúng không hề được lọc đi tinh dầu bên trong. Ngược lại tinh nghệ nguyên chất phải trải qua khá nhiều bước tách lọc để có thể cho được lượng bột với hàm lượng curcumin cao
  • Không sử dụng củ nghệ tươi. Khi dùng nghệ tươi để uống nếu dùng thường xuyên sẽ bị lượng dầu trong củ tươi làm ảnh hưởng. Với củ tươi bạn chỉ nên dùng để nấu nướng một số món ăn nhất định chứ không nên dùng hàng ngày nhé
  • Lựa chọn tinh bot nghe nguyen chat kém kĩ thuật. Với một số cơ sở tự sản xuất tại nhà hoặc đơn giản là bạn tự làm tinh nghệ tại nhà chưa hẳn đã tốt. Lí do là bạn không đủ kinh nghiệm, kiến thức và cả kĩ năng trong việc thực hiện. Nghe việc làm tinh bột nghệ có vẻ đơn giản nhưng thực chất chúng đòi hỏi nhiều yêu cầu chuyên môn sâu rộng hơn trong việc thực hiện. Vậy có khi sử dụng lại không thể mang đến nhiều hiệu quả

tinh bột nghệ mật ong

Bị vàng răng do uống mật ong với nghệ phải làm sao?

Biện pháp xử lí nhất trong thời điểm này đó chính là ngưng và không sử dụng nghệ ” rởm ” đó nữa. Tiếp theo bạn có thể soi gương hoặc đi đến trung tâm nha khoa để kiểm tra độ vàng răng như thế nào

Thông thường bạn chỉ cần chăm chỉ chải răng 2 lần một ngày theo hướng xoay tròn bàn chải. Trộn baking soda với nước cốt chanh tươi đủ để cho một lần chải răng. Lau sạch răng của bạn và cả nước bọt bằng khăn giấy. Quệt hỗn hợp lên bàn chảu đánh răng và chải răng khô trong 1 phút sau đó rửa sạch để tránh ảnh hưởng từ axit. Nếu bạn chải ướt thì có thể chải trong vòng 2-3 phút. Hoặc hàng ngày bạn trộn muối và than hoạt tính lần lượt theo tỉ lệ 1:2, sau đó hòa với nước sao cho thành hỗn hợp đặc sệt. Bạn sử dụng hỗn hợp đó chải răng trong khoảng 5 phút rồi súc miệng lại với nước sạch.

Uống bột nghệ với mật ong luôn tốt với sức khỏe khi và chỉ khi bạn biết cách sử dụng đúng cách. Hi vọng với những thông tin mà Nghệ Bà Lan vừa chia sẻ bạn sẽ có thêm nhiều kinh nghiệm hơn trong việc chọn lựa bột nghệ nhé

Hotline: 0949483179 ( ms Vân)

Mình là Vân cháu của Bà Lan và là người kế thừa thương hiệu gia đình Nghệ Bà Lan. Với niềm đam mê cũng như được đào tạo chuyên sâu về khoa học dinh dưỡng, mình mong rằng có thể giúp khách hàng có được sức khỏe tốt nhất

       

Nghệ Bà Lan

Với hơn 20 năm kinh nghiệm trong lĩnh vực tinh bột nghệ handmade 100%. Chúng tôi tự hào mang đến cho bạn những sản phẩm chất lượng nhất hiện nay như tinh bột nghệ vàng, tinh bột nghệ đỏ, tinh bột nghệ đen, viên tinh nghệ mật ong, tinh dầu nghệ,cao tinh nghệ.